

Venha conhecer a Clínica Center Med, com os mais especializados e preocupados profissionais.
Deixe-nos cuidar de si
Alguns dos nossos serviços...
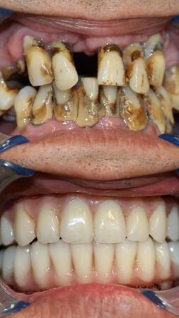
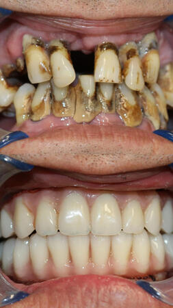
Na nossa clínica, oferecemos uma variedade de tratamentos dentários para garantir um sorriso saudável e bonito. Desde implantes dentários unitários, ao protocolo ALL-ON-4 com dentes no próprio dia que devolvem a funcionalidade e estética dos dentes perdidos, até ortodontia com opções modernas como alinhadores invisíveis.
Especializados em saúde mental infantil, oferecemos diagnóstico e tratamento para questões como perturbações de comportamento, défice de atenção, hiperatividade e outras condições. Trabalhamos em conjunto com as famílias para garantir o desenvolvimento saudável e feliz das crianças.
A alimentação é a base de uma vida saudável. Na Center Med, elaboramos planos alimentares personalizados adaptados às necessidades de cada paciente, seja para controlo de peso, gestão de condições médicas ou melhoria do desempenho físico. A nossa missão é ajudá-lo a alcançar os seus objetivos de forma equilibrada e sustentável.
Acompanhamos o crescimento e desenvolvimento das crianças com consultas personalizadas e cuidados especializados. Desde consultas de rotina e vacinação até o diagnóstico e tratamento de doenças infantis, a nossa equipa está dedicada a garantir o bem-estar dos mais pequenos, num ambiente acolhedor e familiar.
Oferecemos apoio emocional e mental para todas as idades, ajudando a lidar com desafios como ansiedade, depressão, stress e outras questões psicológicas. Com uma abordagem humanizada e personalizada, promovemos o equilíbrio emocional e a qualidade de vida dos nossos pacientes.
Cuidamos da saúde dos seus pés com tratamentos especializados em podologia. Desde o tratamento de calosidades, unhas encravadas e fungos, até o acompanhamento de patologias como diabetes e problemas de circulação, garantimos o conforto e bem-estar dos seus pés.
Na Clínica Center Med, localizada numa das avenidas principais de Bragança, muito próxima de um acesso à auto estrada A4, dedicamo-nos a proporcionar cuidados de saúde de excelência, com foco no bem-estar e na satisfação dos nossos pacientes. Desde a nossa fundação, há 3 anos, temos orgulho em ser uma referência na região, oferecendo serviços médicos e dentários de alta qualidade, num ambiente acolhedor e profissional.A Nossa Missão é cuidar de si e da sua família com uma abordagem multidisciplinar, personalizada e humana. Acreditamos que a saúde é o bem mais precioso, e por isso, investimos em tecnologia avançada, técnicas inovadoras e uma equipa de profissionais altamente qualificados para garantir os melhores resultados.Na Center Med, a sua saúde e o seu sorriso estão em boas mãos. Marque já a sua consulta e descubra como podemos fazer a diferença na sua vida!











Uma equipa experiente e dedicada, pronta para cuidar de si.
Utilizamos os métodos mais modernos e seguros.
Transformamos sorrisos, devolvemos confiança e promovemos saúde.
Estamos aqui para si, com horários flexíveis e um atendimento personalizado.
Estamos numa das avenidas principais de Bragança, muito próxima de um acesso à auto estrada A4, prontos para cuidar de si com todo o conforto e profissionalismo que merece. 🏥✨🗺️ Encontre-nos aqui:
Avenida do Sabor, nº85 R/C Dir.
5300-367, Bragança, Portugal